اب صرف 19 منٹ میں مصنوعی ذہانت سے کورونا کی تشخیص ممکن!

مصنوعی ذہانت کی مدد سے 19 منٹ میں کورونا کی 98 فیصد درست تشخیص کرنے کا کامیاب تجربہ انقلابی قرار دے دیا گیا۔
بین الاقوامی میڈیا رپورٹ کے مطابق یونیورسٹی آف ویسٹ اسکاٹ لینڈ کے سائنسی ماہرین نے ایک تجربہ کیا ہے جس میں انہوں نے جدید ٹیکنالوجی کا استعمال کرتے ہوئے صرف 19 منٹ میں کورونا وائرس کی تشخیص کر دکھائی ہے، اسے ایک نقلابی تجربہ قرار دیا جا رہا ہے۔
سائنسی ماہرین نے کورونا کی تشخیص کے حوالے سے ایکسرے مشین میں آرٹیفیشل انٹیلیجنس کا استعمال کر کے وائرس کی تشخیص کامیابی سے کر دکھائی ماہرین کا کہنا ہے کہ آرٹیفیشل انٹیلیجنس انسانی جسم میں موجود کورونا سمیت دیگر وائرس کو تلاش کرنے کی صلاحیت رکھتی ہے اور 98 فیصد درست نتائج سے سکتی ہے۔
اس تجربے کے آزمائشی مرحلے میں یہ بات بھی سامنے آئی ہے کہ یہ طریقہ پی سی آر کے مقابلے میں وائرس تلاش کرنے کا بہتر اور تیز ترین طریقہ ہے۔
ماہرین کا کہنا ہے کہ پی سی آر کی رپورٹ کے لیے کم از کم دو گھنٹے کا وقت درکار ہوتا ہے جبکہ اس جدید طریقے کی مدد سے 19ویں منٹ میں 98 فیصد درست نتیجہ حاصل ہوجاتا ہے۔
تحقیقی ٹیم کے پروفیسر نعیم رمضان نے اس مشین کو انقلابی ایجاد قرار دیتے ہوئے کہا کہ ’مجھے امید ہے یہ ٹیکنالوجی ایمرجنسی ڈیپارٹمنٹ میں زیادہ مؤثر اور مددگار ثابت ہوگی‘۔
ان کا مزید کہنا تھا کہ اس ٹیکنالوجی کے استعمال کے بعد مرض کی بروقت تشخیص ہوسکے گی جس سے اُن کی جان بچانا ممکن ہوگا۔
انہوں نے بتایا کہ یہ مشین صرف کورونا ہی نہیں بلکہ اومیکرون کی انسانی جسم میں موجودگی کی نشاندہی کرسکتی ہے جبکہ وائرسز کو روکنے میں اہم کردار ادا کرسکتی ہے، خاص طور ایسے وقت میں جب پی سی آر ٹیسٹ آسانی سے دستیاب نہ ہوں۔
البتہ اس ٹیکنالوجی میں اب تک ایک چھوٹا سا نقص یہ سامنے آیا کہ یہ کورونا کی ابتدائی علامات کو ظاہر نہیں کرسکی۔
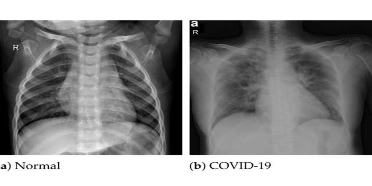
تاہم یونیورسٹی آف ویسٹ اسکاٹ لینڈ کی جانب سے جاری کردہ اعلامیے میں بتایا گیا ہے کہ اس کے ذریعے کورونا سے متاثر اور صحت مند افراد کے پھیپھڑوں کی لی گئیں تین ہزار سے زائد تصاویر کی جانچ کی گئی تھی، جس کے نتائج پی سی آر سے زیادہ بہتر آئے ہیں۔
اس ٹیکنالوجی سے یہ کیسے ممکن ہوا؟
سائنسی ماہرین کی ٹیم کے مطابق اس ٹیکنالوجی میں سافٹ ویئر اور الگورتھم کو 3000 کے قریب ایکسرے پر تربیت دی گئی ہے۔ ایکسرے کے ڈیٹا میں تندرست انسان، کووڈ 19 مریضوں اور نمونیا کے مریضوں کے ایکسرے شامل کئے گئے تھے۔
سافٹ ویئر نے سینے کے ظاہری ایکسرے کی بنیاد پر مختلف کیفیات کی تربیت حاصل کیں اور یوں اپنے الگورتھم کی بنا پر درست ترین تشخیص کرنے لگا۔
اس طرح وقت کم ہوتے ہوتے 19 منٹ میں کووڈ 19 سے متاثرہ شخص کی شناخت کرنا ممکن ہو گیا، ماہرین کا کہنا ہے کہ اس طرح یہ ٹیسٹ پی سی آر اور دیگر تیزرفتار ٹیسٹ سے بھی آگے پہنچ گیا ہے اورکم سے کم وقت میں نہ صرف کورونا بلکہ امیکرون کی تشخیص بھی باآسانی کر سکتا ہے۔
واضح رہے کہ اے آئی کا ’ڈیپ کنوینشنل نیورل نیٹ ورک‘ وہ الگورتھم ہے جس کی مدد سے عام طور پر تصاویر کا تجزیہ کیا جاتا ہے یا پھر کسی مرض کی تشخیص کے لیے اسے استعمال کیا جاتا ہے۔
مزید پڑھیں
Catch all the Business News, Breaking News Event and Latest News Updates on The BOL News
Download The BOL News App to get the Daily News Update & Live News

